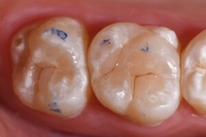
April 21, 2026 Caries noted in the 2nd shot was subsequently removed, but just goes to show how “sealants” that don’t seal are really dangerous re: insidious caries progression. #KerrSimplishade #SneakyCaries Previous Post Next Post