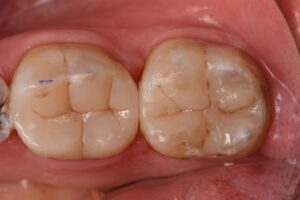
A long-term complex transitional direct restoration was completed on these molars prior to planned orthodontics to remove cracks and stabilize the tooth structure with full coverage indirect planned for immediately post-alignment.
Freehand reconstruction of the lingual cusps was undertaken after the existing pulp exposure was treated and sealed using a resin-modified calcium silicate (Theracal LC).
Restorative: Ever-X Dentin Flow, Majesty Esthetic Flow, Herculite Ultra flowable XL2, Simplishade Dark (Kerr)
#complexcompositerestorations #aquacare #biscotheracalLC #KerrSimplishade
