Voco Grandio SO Unlimited A3
Unlimited esthetics and optimal strength with #VocoGrandioSOUnlimited.
Read More
Using a supercomposite to create a canine bicuspid tooth
This lower right canine exhibited moderate to severe attrition paired with incisal erosion which happened to abut an old amalgam restoration. As there was no occlusal space to build the […]
Read More
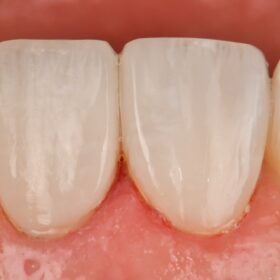
Voco Grandio SO Unlimited A3
Class V and separate facial amalgam removal and restoration using a single shade of the cloud-shaded A3 shade from Grandio SO Unlimited. Featuring a compressive strength of 333MPa (enamel 384MPa, […]
Read More
Implant Access Closure with Composite Sequence
Zirconia Implant Access Closures // Considerations: ^ Both phosphates from saliva as well as phosphoric acid contaminate zirconia preventing any form of adhesive attachments. ^^ Modes of phosphate removal: i) […]
Read More
Ultradent Forma Composite Veneers Zirconia Nanohybrid
First taste of Ultradent Forma in Australasia with this new zirconia nanohybrid composite. The goals of treatment were to replace old partial coverage composite restorations we placed 11 years ago. […]
Read More
Grandio SO Unlimited used with the Garrison Quad Matrix
(Afternoon tea pics 2033.5: Voco Grandio SO Unlimited) Okay guys, here’s the rundown on the brand spanking new Grandio SO Unlimited. Shrinkage stress (for a packable curable in 4mm layers […]
Read More
Voco Supercomposite Long Term Function
The closest thing that you will get to a ceramic inlay, and in my experience, the original material that outperforms inlay margins over time. 89% filled brilliance. #VocoGrandioSO #Supercomposite
Read More
Majesty ES-2 Universal used in conjunction with Garrison Quad Matrix
(Afternoon tea pics 2030.2: Garrison Dental Solutions – North America Quad Matrix | Kuraray Noritake Dental – US Majesty ES-2 Universal U) A complex Class II restoration was completed on […]
Read More
Microlayered 8 e-max veneers on a tetracycline base
(Afternoon tea pics 2029.9: IPS e-max Ceram) The Microlayered Social 8 on tetracycline-stained teeth. 24 hour post-operative reassessment – gingival settling yet to occur. #TSE #Ivoclar #emaxCeram #lithiumdisilicate Ivoclar Shinichiro […]
Read More