Warning: Undefined array key "post_type" in /var/www/vhosts/clarencetam.co.nz/httpdocs/wp-content/plugins/rmgallery2/core/public/rmg_rewrites.php on line 228
Dental Treatment News Blog Auckland NZ - Part 191
Skip to main content

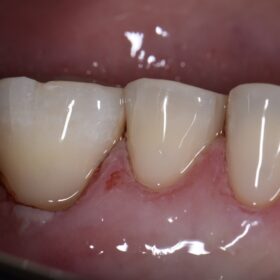
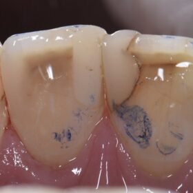
Amalgam removal and stain blockout

(Afternoon tea pics 1342.6: Voco Grandio SO)   Amalgam removal and skulpting. Block-out attempted with XL2 however the distal marginal ridge was “compromised with deep dentin staining”.   #Voco #GrandioSO […]

Read More

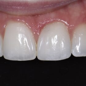
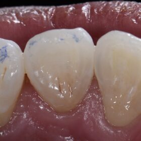
Smile Redesign has a major impact on face

(Afternoon tea pics 1334.7: IPS e-max HT)   Delicate balance of restoration features to try to align this lovely patient’s smile without the use of orthodontic pre-prosthetic alignment. What a […]

Read More

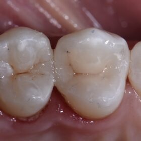
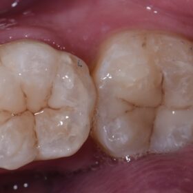
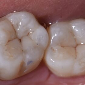
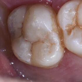
Back to back deep cavities

(Afternoon tea pics 1333.9: Voco Grandio SO)   Deep caries and recurrent caries on these premolars restored always one at a time to control interproximal contours. Restored using a single […]

Read More
« Previous PageNext Page »