Warning: Undefined array key "post_type" in /var/www/vhosts/clarencetam.co.nz/httpdocs/wp-content/plugins/rmgallery2/core/public/rmg_rewrites.php on line 228
Dental Treatment News Blog Auckland NZ - Part 226
Skip to main content

Resin additions without Any Tooth Removal

Resin bonding additions with no preparation at all (except for micro air abrasion) to optimize esthetics on teeth 7-10 after Invisalign by the orthodontist.  Black triangles were minimized but not […]

Read More

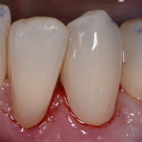
GC Essentia Class V Abrasion Lesions

I really missed completing these Class V bangers.  Polished using Ultradent’s Diamond Polish Mint 0.5microns and a felt point. #GC #EssentiaU #Delicious #Ultradent #DiamondMintPolish #ShineDefine

Read More

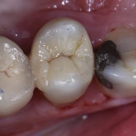
Invisible Fillings

Loving the chameleon effect of this material.  #likeheneverhadafilling #ultradent #mosaic #kameleonkings

Read More
« Previous PageNext Page »