Temporary Filling Replacement | White Fillings Auckland
Temporary fillings are placed for a variety of reasons – either financial constraints, or deep decay in the tooth, which can be arrested and stunted before full removal. This approach […]
Read More
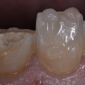
Fixing Cracked Teeth | Beautiful Dentistry | Cosmetic Dentist Auckland
Cracked teeth are hard to restore beautifully. This 37 had a mesial vertical greenstick fracture with recurrent caries. After micro air abrasion with 27 micron aluminum oxide and a selective […]
Read More
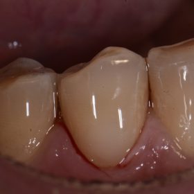
Fragment Reattachment on Tooth | Restorative Dentist Auckland
3 week reassessment after fragment rebonding and sectional restoration with Kerr Harmonize on 21MIBL.
Read More
Safe Amalgam Removal | White Fillings | Restorative Dentist Auckland
We safely remove amalgam fillings and precisely sculpt bonded composite resin to a the highest standard. The sequence. Large Class II’s. Hu-Friedy StyleSkulpt in action. Clarrie x #hufriedy #styleskulpt #teethbytam […]
Read More
Scrubbing Enamel Away | White Composite Restorations
It is a common problem when we brush too hard and scrub away our enamel, leaving dentin exposed, which not only is sensitive, but wears six times faster than enamel […]
Read More
Tissue Emergence Profile Around Implants | Precision Cosmetic Dentistry Auckland
Provisional emergence profile shaping via temporary implant crowns provides the template for the final implant crown. Precise tissue levels are formed through custom shaping of the gingival margin position. This […]
Read More
Smile Makeover | Extreme Makeover | Laser Gum Surgery
Our practice specializes in providing digital smile design-driven solutions for all of our smile makeovers. Extreme results are possible and predictable with precision in planning. This DSD-driven case utilized multi-layered […]
Read More
White Fillings | Restorative Dentistry Auckland
Happy New Year! White fillings or restorations are hard to do well. This amalgam on 17O featured recurrent caries which belies its pre-operative appearance radiographically. The patient requested all her […]
Read More
Custom Tam-Designed Hu-Friedy StyleSkulpt Kit Release
Happy Pre-Christmas folks, 1) Super excited to let you know that I will be expecting the first few kits of StyleSkulpt to land on our shores any day now. 2) […]
Read More
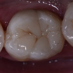
Composite Fillings | Complex Reconstruction | Restorative Dentist Auckland
Hello Thursday! On this last clinical day before Christmas, this large Class II walked into the practice. Standard preparation, extensive recurrent caries and amalgam staining noted. Multiple radiating/comminuted vertical fractures […]
Read More