Rejuvenating Old Filling and a Chip Repair | Restorative Dentist Auckland
It’s always a bit difficult when the patient dictates which restorations she wishes to have done (11MIB, 12DBP). It’s even harder when she feels she is being suffocated by the […]
Read More
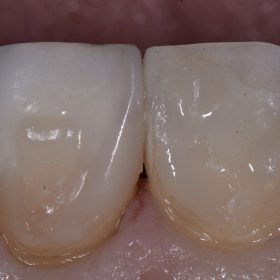
Dental Crowns | Impression Precision | Restorative Dentistry Auckland
Happy Humpday!! On this day I am reminded of the important of capturing the sulcular “fin” to capture root emergence profile for maximal predictability of margin integrity. Have a margin-licious […]
Read More
Impressioning Precision | Dental Crowns | Restorative Dentistry Auckland
Had the opportunity to trial Voco’s new A-silicone PVS material (Yes, Voco!!) – V-Posil is extremely hydrophilic and has an extremely low contact angle of less than 10 degrees (unheard […]
Read More
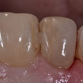
Rebonding Tooth Fragments | Conservative Dentistry Auckland
Hello all, You know your Tuesday is going to be a doozy when this calls and walks in through the door. Virgin tooth snapped off (uncomplicated enamel-dentin fracture: MIDBL tooth […]
Read More
Anterior Composite Fillings | Cosmetic Dentistry Auckland
“It’s no chump if it doesn’t slump.” #ClassV #LoFlo #GC #EssentiaLoFlo
Read More
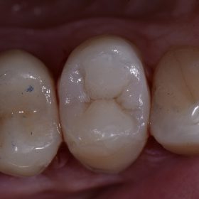
Posterior Composite Restorations Fillings | Restorative Dentistry Auckland
Grand Physicoesthetic Properties, courtesy of #Voco #GrandioSO #StraightUp #SuperComposite #WhiteAmalgam. And radiopacity is fantastic, at 320% Al. Have a Grand Evening, Clarrie
Read More
Mimicking Nature | Biomimetic Semi-Direct Composite Crown | Restorative Dentist Auckland AACD Accredited
Post by Dr. Clarence P. Tam, HBSc, DDS, FIADFE, AAACD Happy Weekend, Tea Tribe, This was an interesting case, completed as a treatment option for a decimated, yet vital 17 […]
Read More
Restoring Teeth to Mimic Nature | Biomimetic Dentistry Auckland
Rainy Thursdays aren’t that dreary, It’s the perfect cozy environment to test out the esthetic integration of Kerr Harmonize in a relatively large Class II restoration on tooth 14. The […]
Read More
Minimally-Invasive Dentistry | Conservative Restorations | Cosmetic Dentistry New Zealand
Good Wednesday morning! This back to back Class IV fracture case was restored using A1E and A2D Kerr Harmonize, characterized incisally using some Trans Clear. On an exciting note, the […]
Read More
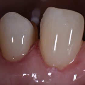
Posterior Composite Restorations | Beautiful Fillings | Restorative Dentistry Auckland
Old Restoration Replacements made fun! Light fissure tinting courtesy of RBM and White Modifier custom mix in the Essentia Modifier Kit #GC #Essentia #PremioBond #PrimoCombination #syntheticisoprenedams
Read More