Safe Amalgam Removal | Aesthetic Dentistry Auckland | Cosmetic Dentistry Auckland
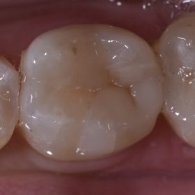
Large Amalgam Restoration Replacements – made simple using Voco Grandio SO A2. Off to the States! Take care of yourselves, and see you in October! Clarrie x #Voco #GrandioSO #SuperComposites […]
Read More
Filling Replacement | Tooth Colored Restorations | Newmarket Dentist Auckland
Happy Friday, Folks! This case demonstrates the stark effects of dehydration on the restoration of this premolar. One can appreciate that pre-operatively, the enamel is quite translucent and greyish. Post-operatively, […]
Read More
Conservative Dental Crown | Enamel Preservation | Restorative Dentistry Auckland
Conservation of enamel for Minimally Invasive Dentistry is a key tenet. I had the opportunity to reinforce a structurally compromised tooth using Standard 3/4 crown prep with palatal reduction and […]
Read More
Non Invasive Dentistry | No Prep Cantilever Bridge Impressions | Restorative Dentistry Auckland
This is the workup for what I thought was an interesting case. 28 year old female with a virtually virgin dentition who was finished with ortho in her teenage years […]
Read More
Find Best Cosmetic Dentist | Tooth Colored Restorations | Cosmetic Dentist Auckland
Good Afternoon Martians, That’s how I feel after this day anyhow. This was a case featuring quite extensive existing restorations with underlying recurrent caries. Following micro air abrasion with 27 […]
Read More
Reversing Scrubbing Damage on Teeth | Best Cosmetic Dentist Auckland
Scrubbing damage is a result of often having used too hard a toothbrush or too abrasive a toothpaste (often, a combination of the two). These lesions are often plaque traps […]
Read More
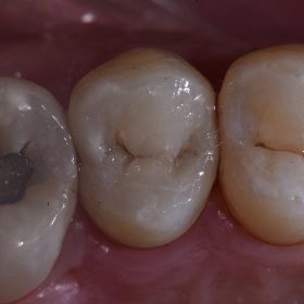
Amalgam Removal | Tooth Coloured Fillings | Composite Resin Restorations Auckland
Top of the Morning, For those of you who got drenched getting to work, I feel for you. This case should hopefully make you feel better and fired up for […]
Read More
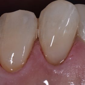
Replacing Leaking Fillings | Tooth Contoured Fillings | Restorative Dentist Clarence Tam | AACD Accredited
Hi there, The chameleon effect of some of these modern nanohybrids are intense – very rarely will you need to mix and match enamel and dentin shades to get a […]
Read More
White Fillings | Composite Resin Restorations | Cosmetic Dentist Auckland
Happy Thursday! We had the opportunity to complete a bonded partial restoration replacement for this dentist on the DOB aspect on this 46. The shape of the DB line angle […]
Read More
Chipped Teeth | Fractured Teeth | ACC | Composite Resin Reconstruction | Newmarket Dentist Auckland
We had the opportunity to review this case of back-to-back Class IV layered composite restorations on #8 and 9 completed a week ago. Overall, the optical integration is pretty satisfactory. […]
Read More