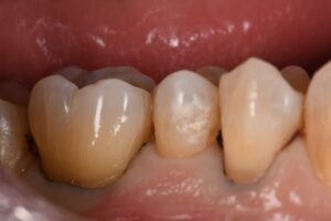
March 20, 2023 Subgingival Class V lesions restored using a single shade of Essentia U. #EssentiaU #GC #ClassVlesions Previous Post Next Post