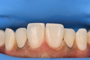
(Afternoon tea pics 1967.7: Ultradent Southeast Asia Ultradent Products, Inc. Gemini Evo | Opalesence | Ivoclar Empress Direct)
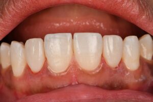
//DSD #SmileDesignerPro
//Custom Nightguard Whitening #Opalesence
//Enameloplasty of Central Incisors
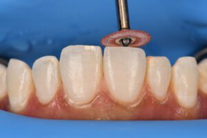
//Gingival Recontouring #GeminiEvo #UltradentProducts
//Stratified Composite Veneers #7 and 10 using #EmpressDirect and #EmpressColor #ivoclar
