(Afternoon tea pics 1926.8: Composite Veneers | Clearfil Majesty ES-2 Premium)
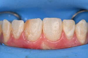
Lifting confidence with uber-natural stratified DSD-driven composite veneers on this 15 year old female exhibiting incisor hypomineralization and enamel dysplasia.
Shades used: WD, WE, Clear, white tint
#DSD #SmileDesignerPro #ClearfilMajestyES2 #VocoFinalTouchtints Kuraray Noritake Dental – US Kuraray Noritake Kuraray Noritake Dental Europe Kuraray Noritake Polska Kuraray Noritake Australia & New Zealand Kuraray Noritake France VOCO VOCO GmbH – The Dentalists
