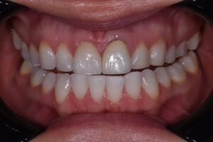
YOUTHenize // Anterior sextant reconstruction with design tweaks for tastefully larger teeth- 8 units. Thanks as always to #theshineffect for your artistry.
#cosmeticdentistry #theshineffect #ivoclarnz #SmileMakeover #smilereconstruction #Estheticenhancement #SmileDesignerPro #dentalproportions
(Afternoon tea pics 1574.5: IPS e-max MT anterior reconstruction)
