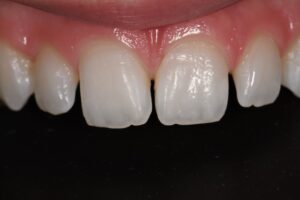
November 2, 2022 1 week reassessment of non-invasive resin infiltration with #DMGIcon for this lovely 14 year old female. #DMGIcon #Resininfiltration #NonInvasiveDentistry #D3Group #WhiteSpotLesionTreatment Previous Post Next Post