Skip to main content
Warning: Graphic photos ahead

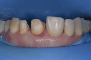
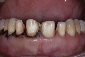
This nice 54 year old female desired a correction of her occlusal and gingival cant with simultaneous correction of the midline cant.  She rejected the option to complete gingivo-osseous recontouring at a separate appointment with a 2-3 month healing period as she had seen a previous case completed featuring osseous recontouring and preparations at the same time with good predictability.  The old Cerec leucite reinforced glass ceramic restorations were overcontoured and covering excessively prepared teeth along with exposed margins cervically.  A Digital Smile Design was completed for the patient indicating the extent of areas to be modified to gain near complete correction of the gingival and occlusal cant without being overly aggressive.

Following initial preparation from teeth 9-12 (2.1-2.4), the margins were located equigingivally.  From this point, the DSD was used as a guide to the change in cervical profile which was accomplished initially using the Ultradent Gemini diode Superpulsed laser at 1.2W in dual-wavelength mode.  The margins were relocated to this level, and a transsulcular approach using a Kois Wedelstaedt chisel was attempted and was generally successful except for a few problematic areas where re-establishment of ideal crestal distance from the margins was dubious.  A full thickness envelope flap was raised and the offending areas directly osteoplastied using the Kois Surgical System (Brasseler) prior to debriding the area and gaining primary closure using vertical mattress sutures.
The contralateral side was prepared and a traditional final impression taken using an A-silicone dual stage technique.  A digital intraoral scan was considered, however due to the tissue quality and risk of losing precious hemostasis was not used.  The provisionals are a shrink to fit situation with GC TempSmart B1 with the goal of ensuring our endpoints of gaining gingival marginal symmetry and occlusal cant leveling are achieved.
#KoisKats #Ultradent #Gemini #Superpulsedlaser #CrownLengthening #EstheticReconstruction #DSD