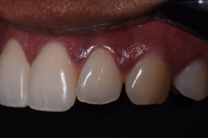
November 19, 2021 INCISAL WINDOW VOYEURISM // : 1 week reassessment. #EmpressDirect #IvoclarVivadent #CompositeVeneersAuckland Previous Post Next Post