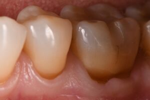
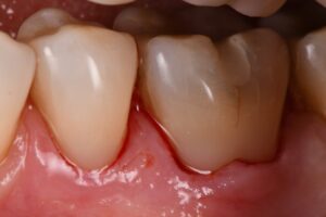
February 16, 2023 Yes there is a hairline crack but that was not my kaupapa today. Let’s get those Class V bangers! Thanks as ever to the trusty Tayla. #GCEssentiaU #ClassVbangers Previous Post Next Post