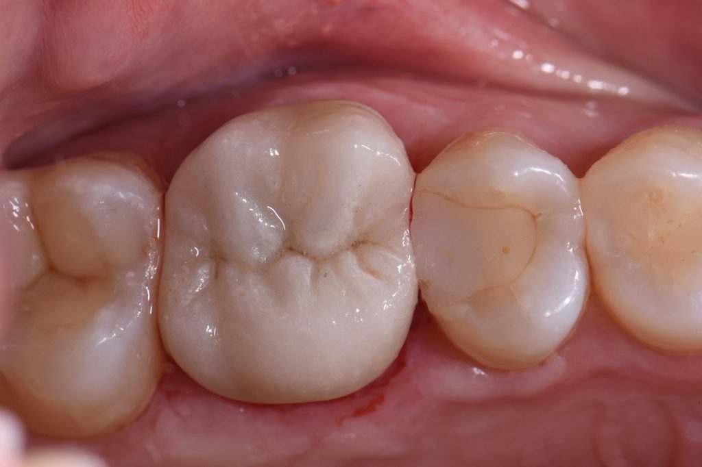
This was a GC LiSi MT crown that we completed on tooth 26 with a simple stain and glaze technique using the Initial System. Flexural strength = 500MPa.
Kindest,
Clarrie
#GC #Initial #LiSi #secretweapon
This was a GC LiSi MT crown that we completed on tooth 26 with a simple stain and glaze technique using the Initial System. Flexural strength = 500MPa.
Kindest,
Clarrie
#GC #Initial #LiSi #secretweapon