Skip to main content

Happy Friyay,

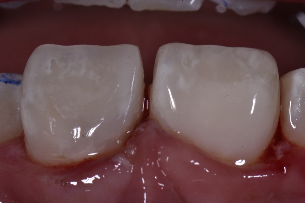
Huge Class IV fracture secondary to fracture on a 10 year old girl. Clear violation of biologic width, but parents wish to “see how she heals” before deciding on crown lengthening surgery. Laser diode gingivectomy (Biolase) set at 2.0W continuous.

Freehand Fridays,

Clarrie x

#Kerr #Harmonize #ClassIV #Hypomin #TamDentalGroup #SkulptingSkool102