Hello there,

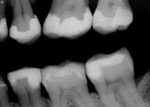
Please find attached the revised composite restoration for tooth #15/2.7 DOB retaining the mesial wall. A single shade of A3 Voco Grandio SO was used with the matrix in matrix system in place on the DOB and is slated to perform well in this high load region due to its intrinsic compressive strength of 439MPa. A post-operative radiograph is attached for reference.
Best Wishes,
CT
#Voco #GrandioSO #MatrixinMatrix