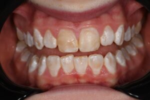
Invisible Composite Veneers on #8 and 9 mimicking hypomineralization. Pre-prosthetic resin infiltration and whitening completed as part of treatment. Courtesy of #KurarayMajestyES2Premium

Invisible Composite Veneers on #8 and 9 mimicking hypomineralization. Pre-prosthetic resin infiltration and whitening completed as part of treatment. Courtesy of #KurarayMajestyES2Premium
