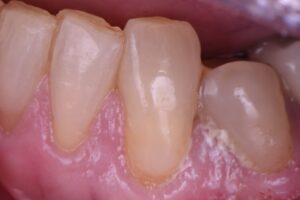
February 10, 2022 Cervical bonded restorations can protect against some abrasion, but it definitely can recur, as seen here under a previous dentist’s Class V. Restored using a single shade of #GC #EssentiaU Previous Post Next Post