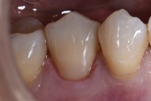
July 17, 2019 (Afternoon tea pics 954.4: GC Essentia U) This patient had a cervical abrasion lesion that she wanted to protect. Humpday Class V banger completed using #GC #EssentiaU #RootLighteningEffect #Subtleties Previous Post Next Post