Start with the End in Mind.
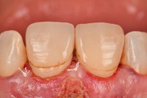
A youthful width:height ratio for central incisors ranges from 75:100 to 80:100.
We were successful in modifying both gingival and osseous parameters based on a DSD-based protocol.
#KoisKats #SurgicalCrownLengthening #StartwiththeEndinMind
