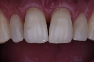
Restoring Class III’s invisibly relies not so much on a bi-or-tristratification strategy, it relies ultimately on the optical refractive ability of the composite material, one that “Supercomposites” possess, such as in this case using the OG, #Voco #GrandioSO. These smart one-opacity materials allow a beautiful esthetic integration in both enamel and dentin volumes.
