Skip to main content

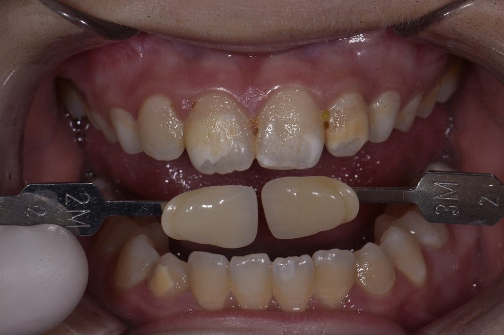
Conservative treatment of Incisor Hypomineralization is key, especially to preserve a maximum volume of tooth structure in young individuals. This case demonstrates the sequence used when treating a 10 year old male. Vital nightguard bleaching using custom-cervical seal bleaching trays were utilized with a 10% carbamide peroxide solution over a 3 week period. Following this, a course of microabrasion was utilized (Opalustre, Ultradent) with slight effect on the 31 lesion. The other lesions were “too deep” to have microabrasion effect a significant result. Finally, the last “non-drilling” treatment stage involved a modified protocol of resin infiltration using 15% HCl (aq) gel, alcohol and resin infiltrant in the DMG Icon Kit.

Overall, a significant improvement on his presenting situation, and it was planned that we would review him at the 1 week post-infiltration appointment to see whether macroreduction and resin layering was necessary to make these “disappear.” From his reaction today, it’s safe to say (hopefully) we don’t have to touch a bur to his teeth…

N.B. The patient was a severe gagger, and my use of a rubber dam during the microabrasion appointment actually iatrogenically extracted his already mobile 54…that and his gagging. So we used the retractor from the Ultradent Opalescence Boost system paired with Liquid Dam for isolation.

#IncisorHypomineralization #Ultradent #Opalustre #DMG #ResinInfiltration #Opalescence #Transformations