(Afternoon tea pics 1863.5: Garrison Dental Solutions – North America Strata-G | Voco Grandio SO | GC Ever-X Flow)
Matrix Options for Larger interdental spaces
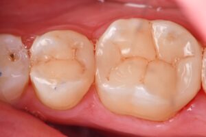
You have seen me use a lot of the Compositight 3D Fusion (Garrison) system for small to regular interdental spaces, however, I find the newer Strata-G sectional matrix system to have a “greater axial curve” and therefore more suitable for the closure of larger interdental spaces.
This case was restored using the nanohybrid supercomposite Grandio SO with a base of Ever-X Flow which features 6 micron diameter barium e-glass fibers which cures in an anisotropic configuration, limiting and restricting volumetric polymerization and thus shrinkage stress.
Sorry about the saliva in the picture – it was a wonder I was able to get all of her tongue at all out of the picture.
Have a lovely weekend ahead tea(m).
#VocoGrandioSO #GarrisonStrataG #GCEverX VOCO GmbH – The Dentalists GC Australasia GC America
