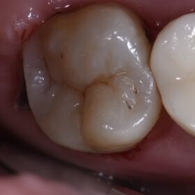
Pre-Prosthetic Contouring for Pre-Prosthetic Orthodontics
Replacement of old resin restorations with the goal of recontouring the distal aspect of tooth 3 (1.6) properly to allow space to “correct the mesially-tipped tooth” with pre-prosthetic orthodontics to […]
Read More
Sensitive roots with abrasion lesions restored invisibly
Completed a Class V banger duo for one of our lovely hygienists with sensitivity in the 4th quadrant. #GC #EssentiaU
Read More
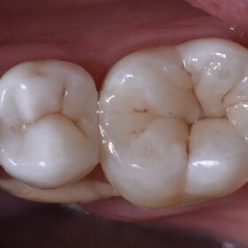
Restoring heavily-filled amalgam teeth with biomimetic fillings
Feels like I have been smashing large complex composites all day. The opaque white flowable is an XL2 from Kerr Herculite that I like to use as it is more […]
Read More
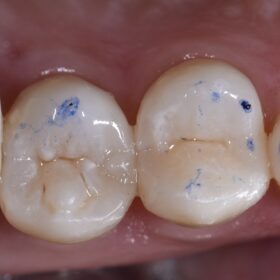
Large composites restorations with Voco Grandio SO
The workout with the OG Supercomposite continues. #Voco #GrandioSO
Read More
Complex Layering to Rebuild a Broken Down Molar
Layering sequence for tooth 14 (2.6). #Voco #GrandioSO #Kerr #Herculite
Read More
Restoring bombed out carious premolars biomimetically
Deep, deep, deep caries on these compromised premolars. Margin elevation was completed before transitioning to an anatomic sectional matrix system to build the axial walls. I would typically like more […]
Read More
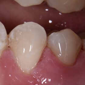
Reinforcing the necks of teeth with abrasion lesions
Class V bangers using #Voco #GrandioSO
Read More
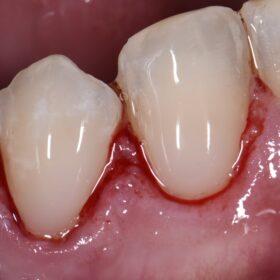
Root insulation restorations to minimize sensitivity
Some subtle root protection due to localized hypersensitivity on this tooth with extreme attachment loss. #Voco #GrandioSO
Read More
Class II replacement with Voco Grandio SO
Class II replacement due to a “composite bubble” cervically and recurrent caries due to this. I could have recontoured the distal of the first premolar… but didn’t. #Voco #GrandioSO
Read More
Your fillings should always try to emulate nature
Light casting onto #2 is a bit easier for visualization. #Voco #GrandioSO
Read More