Warning: Undefined array key "post_type" in /var/www/vhosts/clarencetam.co.nz/httpdocs/wp-content/plugins/rmgallery2/core/public/rmg_rewrites.php on line 228
Dental Treatment News Blog Auckland NZ - Part 198
Skip to main content

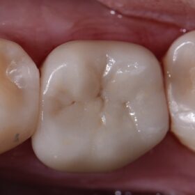
Blocking out Dark Stump Shades

Dark stump shades are no match for this IPS e -max LT ingot, although I feel it could have slightly greater depth of translucency for increased realism.  Fissure forms stunning […]

Read More

Clarence Tam x Hu-Friedy design collaboration

Dr. Clarence Tam has had the distinct pleasure and lifetime honor of having a custom restorative instrument kit designed with the gold standard in dental tools and instrument manufacturing, Hu-Friedy […]

Read More

Tam Added as Guest Faculty ACDP

The Australasian College of Dental Practitioners is an astute group of dental surgeons with the goal of educating practitioners at the highest level, with diploma offerings that challenge the upper […]

Read More

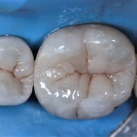
Removing Hairline Cracks in Teeth

This case featured vertical hairline fractures that transversed the DEJ in multiple locations, requiring removal/reduction in those regions, despite being asymptomatic.  We will watch this tooth over time and occlusion […]

Read More

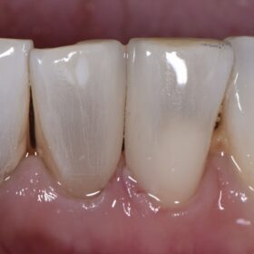
Large Diastema Closure with composite resin

Had the opportunity to close a relatively large diastema with blunted interdental papillae on this lovely lady. Matrix: Polydentia Unica Anterior, Mylar pre-crimped Bond: It’s a secret. Restorative: Clinicians Choice […]

Read More
« Previous PageNext Page »