Warning: Undefined array key "post_type" in /var/www/vhosts/clarencetam.co.nz/httpdocs/wp-content/plugins/rmgallery2/core/public/rmg_rewrites.php on line 228
Dental Treatment News Blog Auckland NZ - Part 223
Skip to main content

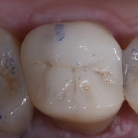
Removing Old Composites Conservatively

Simplified anatomy/clean lines for this 31/4.7 with a hairline fracture.  We decided to leave the “base” of composite as it was deep pulpally and the margins appeared intact and leakage/free. […]

Read More

Invisalign 1 year result

There is much to be said for pre-prosthetic alignment not only for better esthetics, but better health in general.  Look at the space that Invisalign was able to achieve within […]

Read More

Tips For Your Invisalign® Treatment

So you’ve made the decision to straighten your smile and improve your bite with a discreet and contemporary alternative to metal braces—congratulations! We know you’re eager to start the process […]

Read More
« Previous PageNext Page »