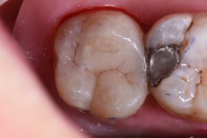
December 13, 2021 Extensive caries and existing restoration replaced for a dear member of our team. First molar next. #Voco #GrandioSO #FinalTouch (Afternoon tea pics 1368.8: Voco Grandio SO | Final Touch) Previous Post Next Post