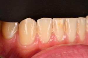
December 13, 2024 I am finding greater and greater predictability when using Icon in more severe cases of incisor hypomineralization. 1 week reassessment on tooth 25/4.1. #DMGIcon #ResinInfiltration #CosmeticDentistry Previous Post Next Post