Skip to main content

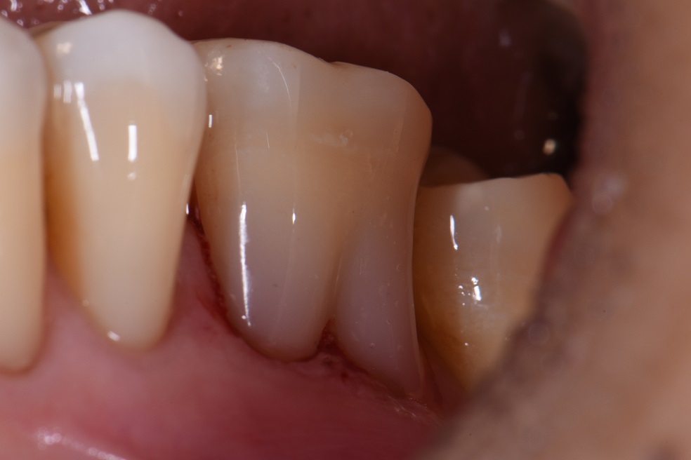
Large awkward root Class V non-carious cervical abrasion lesions can be quite an interesting challenge. GC Essentia U offers a decent chameleon effect and ultimate skulptability even in weird locations.

Have a weird but fun weekend,

Clarrie

#GC #EssentiaU #WeirdClassVs