Skip to main content

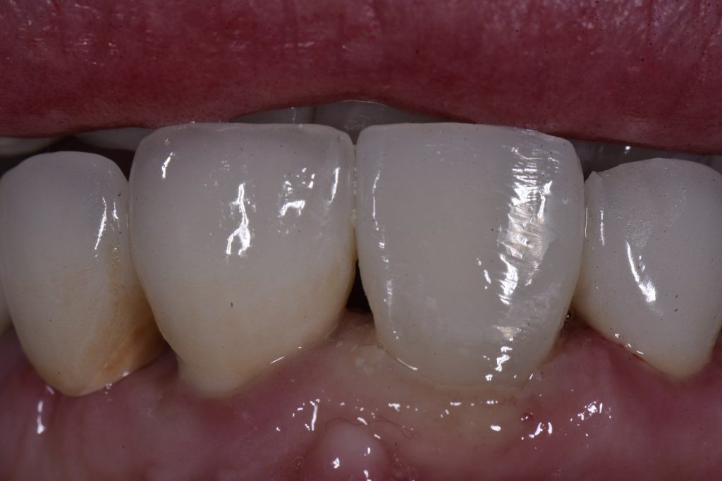
Provisional emergence profile shaping via temporary implant crowns provides the template for the final implant crown. Precise tissue levels are formed through custom shaping of the gingival margin position.

This case is just an example of what a two week change in tissue contour effected by augmenting the cervicofacial aspect of a provisional implant crown can do. Customizing the cervical emergence profile allows for coronoapical movement of the gingival margin in anterior esthetic cases and is important to maximize predictability via a custom fixture head impression abutment based on the final cervical design of the provisional crown.

The papillae rebound and maturation is remarkable, tissue texture similar to the contralateral side. She has tried the new GC Ruscello floss, which has 5 times more fibers (it’s a microfiber floss) than regular floss, allowing plaque to almost-magnetically adhere to the bristles. Each fiber is wedge-shaped and is 1/100 the thickness of a human hair. Note: no, this still doesn’t work on calculus and it all depends on patient vigilance. =)

The interdental papillae will fill 100% of the time if the apical aspect of the contact point is 4mm from the interdental crest. In this case, does not have a great chance of fill without replacing the triangular implant crown on 21 with a more square-ovoid shape.

Kindest,

Clarrie

#GC #Ruscello #Microfiber #DentalFloss #FlosslikeaBoss #Provisional #ImplantEmergenceProfile #AstraTechEV #DentsplyImplants